TOPINDIATOURS Hot kesehatan: Penampakan Ginjal Ketiga pada Pria India, Bentuknya Mirip Tap

📌 TOPINDIATOURS Eksklusif kesehatan: Penampakan Ginjal Ketiga pada Pria India, Ben

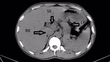
Dokter di India menemukan adanya ginjal ketiga pada pasiennya yang berusia 31 tahun. Begini penampakannya.

🔗 Sumber: health.detik.com


📌 TOPINDIATOURS Update kesehatan: Kasus Campak pada Anak Meningkat, Dokter Ungkap

Penyakit campak meningkat di Indonesia dengan ribuan kasus. Pentingnya vaksinasi dan penanganan dini untuk mencegah komplikasi serius. Kenali gejalanya!

🔗 Sumber: health.detik.com


🤖 Catatan TOPINDIATOURS

Artikel ini adalah rangkuman otomatis dari beberapa sumber terpercaya. Kami pilih topik yang sedang tren agar kamu selalu update tanpa ketinggalan.

✅ Update berikutnya dalam 30 menit — tema random menanti!